The offer includes free Whitening, Free consultation, free 3D scan and free check-up.






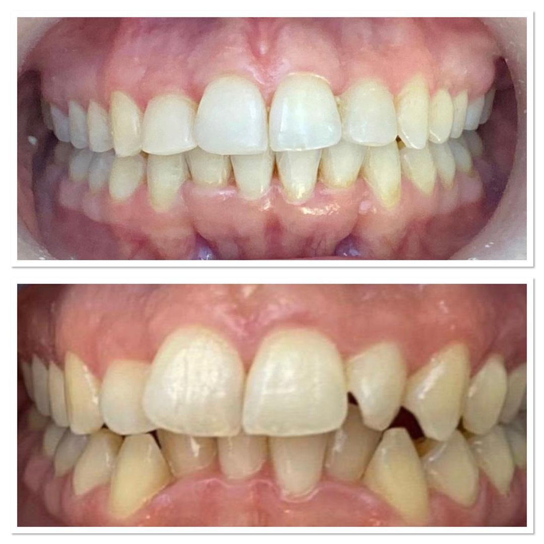
We offer discreet and effective
teeth straightening with Invisalign®
“I have a phobia of Dentists having not gone for 33 years. Dr Mansour really put my mind at rest and gave good advice. Amazingly my teeth are in good shape and only hygienist appointment required and a few small bits - No fillings. I'm not really into writing reviews and this is my first one on google but I highly recommend Shirland Dental Practice.”
“Highly recommend this practice. Dr Mansour has a wonderful chair-side manner and is always reassuring and considerate. As someone who dreaded visiting the dentist for years, I can recommend her to any of my fellow dental-phobics. She does excellent work but it's her professionalism and warmth that sets her apart.”
“Honestly the best dental practice I have ever been to. Everyone was so friendly and talked me through the procedures and my xrays. I would be happy to go back weekly if that wasn't so weird (and thankfully not necessary).”
“Open at weekends! The staff and location are fantastic. The most impressive dental service in the area.”
“An honest and caring dentist! A welcome change from my previous experience. Everything was explained clearly before work was done and the cost was outlined also. I would recommend anyone come here as they are very friendly. Thank you Hamssa!”